+37379562144
+37360255576
г. Бельцы, ул. Шмидта 10
Пн-ПТ 8:00-20:00
Сб 8:00-13:00
Главная
Услуги
Клинические случаи
О нас
Контакты
RU
RO
RU
Записаться на прием
✕
Клинические случаи
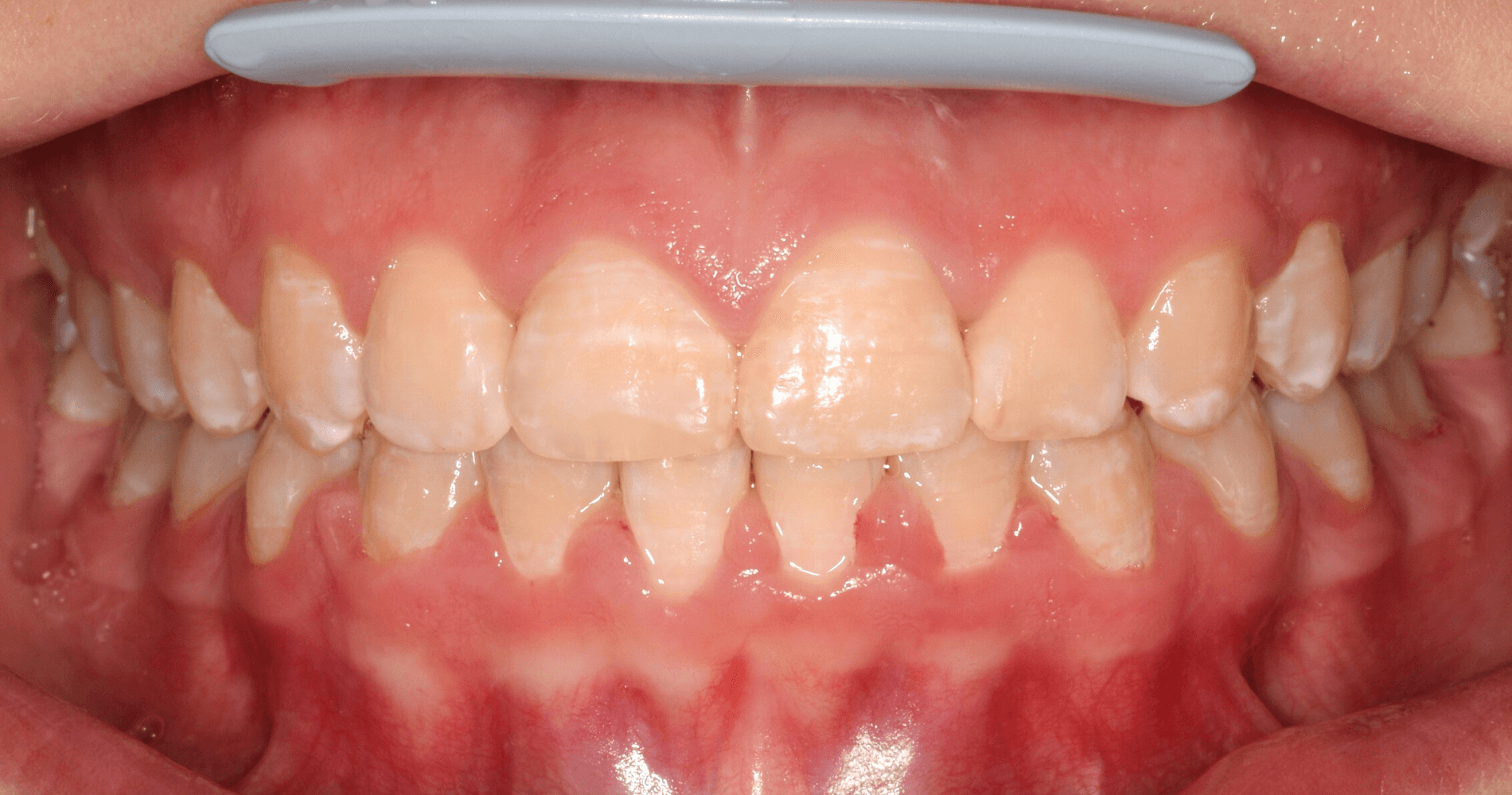
Ортодонтическое лечение
Доктор: Ион Бостан
Несъемная конструкция
Длительность лечения: 18 месяцев
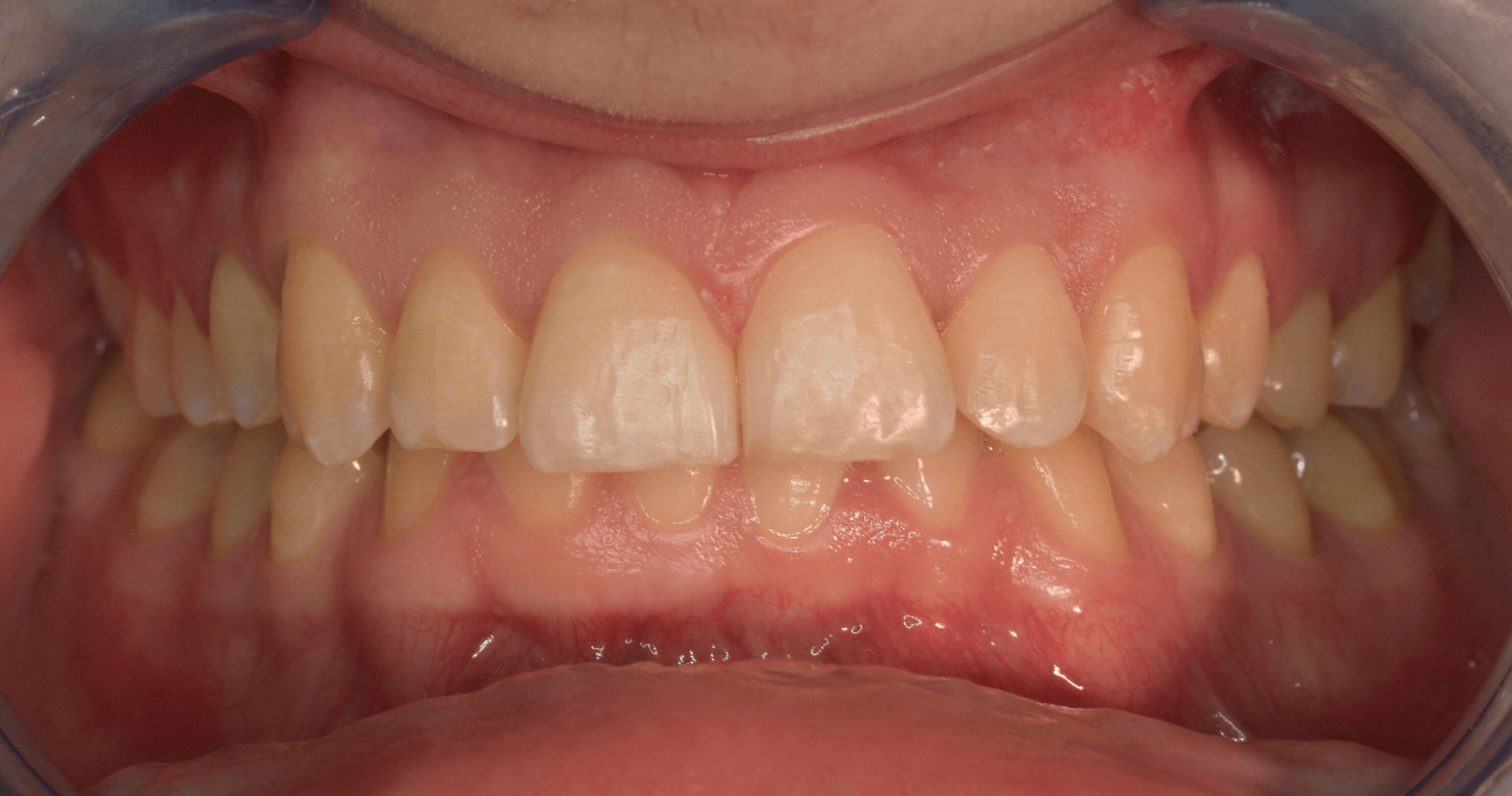
Ортодонтическое лечение
Доктор: Ион Бостан
Несъемная конструкция
Длительность лечения: 17 месяцев
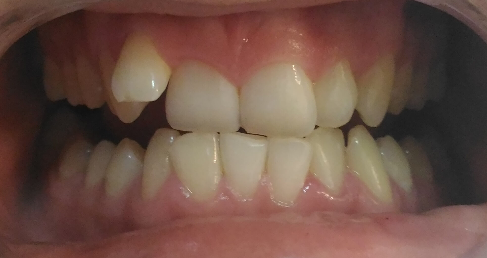
Ортодонтическое лечение с брекетами
Доктор: Ион Бостан
Несъемная конструкция
Длительность лечения: 24 месяца